Оценка на огнищни изменения в паренхима на белите дробове в Клиниката по Образна диагностика
Оценка на огнищни изменения в паренхима на белите дробове в Клиниката по Образна диагностика на МБАЛ „Токуда Болница София”
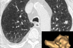
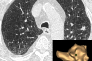
Клиниката по Образна диагностика на МБАЛ „Токуда Болница София” разполага с възможност за полуавтоматизирана оценка на белодробни огнищни лезии, базирана на съвременен софтуерен продукт, обработващ образи от компютъртомографските изследвания. Тази оценка е неразделна част от Протокола за ранно откриване на рак на белия дроб при рискови контингенти с помощта на нискодозова компютърна томография, както и при проследяване на поведението на случайно установени малки огнищни сенки в белодробния паренхим при изследвания, проведени по друг повод.
Свързани отделения