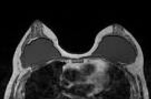
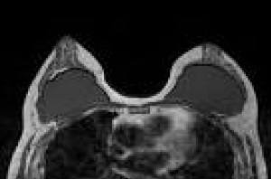
Магнитнорезонансно изследване на протезирани гърди
Естетичната и онкологична хирургия все по-често използва импланти за целите на аугментационна и онкологична мамопластика, което поставя остро въпроса за адекватна визуализация на протезата и подлежащата жлезна тъкан.
Целта на проекта е да се разработят и въведат в ежедневната практика секвенции, които да визуализират селективно силикона и да подтиснат сигнала от водата и меките тъкани.
Изследователи:
В.Иванов, рентгенолог
Е.Георгиев, медицински физик
Т.Мъров, рентгенов лаборант
Публикации:
Е. Георгиев, В. Иванов, Г. Кирова, П. Илиева, Магнитнорезонансна техника за тъканна супресия след аугментационна мамопластика, списание Рентгенология и Радиология; под печат
Свързани отделения