Качеството на яйцеклетките и ембрионите - да развенчаем митовете
Светла Джунева, клиничен ембриолог
Един от най-често задаваните въпроси към ембриолога е „Какво е качеството на ембрионите ми и какво трябва да бъде, за да забременея?“. Отговорът на този въпрос не е лесен, затова целта на тази статия е да обясни как се оценява качеството на яйцеклетките и ембрионите, и какво означават тези оценки.
С развитието си съвременните технологии в асистираната репродукция предлагат все повече иновативни методи при подбора на най-добрия ембрион. Вече широко се използва генетичният скрининг и диагностика, за да се определи кое ембрионче е еуплоид (тоест е генетично здраво и има правилен храмозомен набор). Макар и инвазивен, този подход е успешно приложим и препоръчителен при партньорки в напреднала репродуктивна възраст (над 39 години) и при двойки с диагностицирано генетично заболяване. При това генетично изследване се използва генетичен материал от 1-2 клетки на ембрион в 3-ти ден от развитието си, или 5-10 клетки от бластоцист - ембрион на 5ти или 6ти ден. Необходимо е след генетичен подбор с последващ трансфер на генетично здравите ембриони, при установяване на бременност, резултатът от генентичния анализ да се валидира – тоест да се потвърди със сигурност чрез инвазивните за майката и бебето методи – амиоцентеза и хорионбиопсия или все по-навлизащите в практиката неинвазивни методи, които изследват феталното ДНК, съдържащо се в майчината кръв (пренатални кръвни тестове).
Друг съвременен подход в ембриологичната лабораторията е използване на Time Lapse технологията. Тя дава възможност да се проследи развитието на ембриона след оплождане до трансфер като на филмова лента. Ембриологът може да види в кой момент е настъпило всяко делене на клетките и колко време е продължила всяка фаза (2, 4 и тн. клетъчен стадий) без да се налага да вади ембриона от инкубатора. Има достатъчно доказателства, че тези времена са много важни за виталността на ембрионите, способността им да се имплантират в матката на майката и от тях да се роди здраво дете. Все още обаче тези технологии са твърде скъпи, оскъпяват самата ин витро процедура и повечето клиники в България не ги предлагат.
Най-широко използваният начин за оценка на яйцеклетките и ембрионите е тяхната морфологична оценка във всеки един ден от развитието.
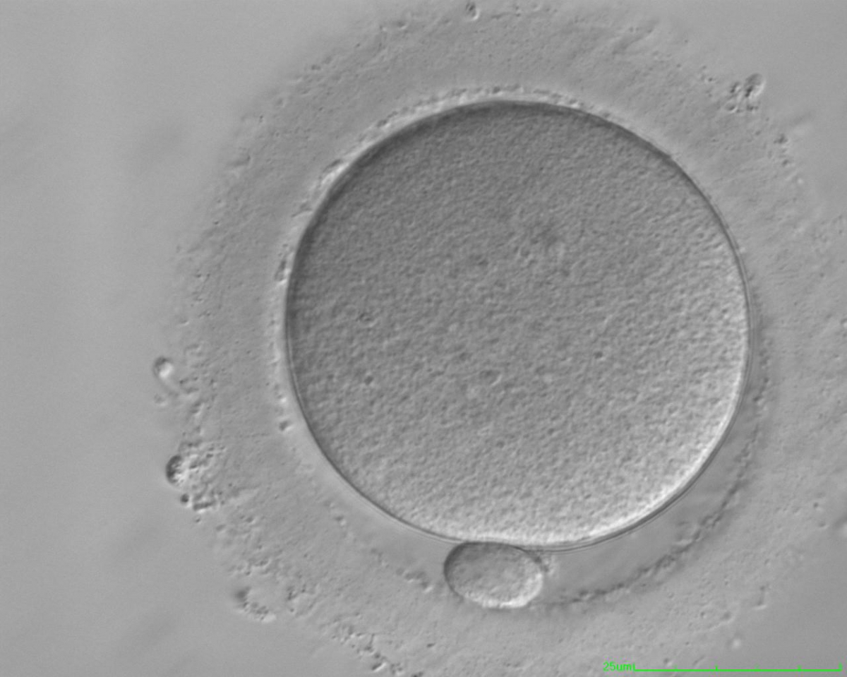
Качеството на яйцеклетката започва да се оценява веднага след като тя бъде извадена от фоликула. Зрелите качествени яйцеклетки се характеризират с овална форма, оформено полярно телце, хомогенна цитоплазма и размер около 200 микрометра:

Около 17 часа след сливането на яйцеклетката и сперматозоида може да се наблюдават първите признаци на оплождане. Клетката трябва да е сферична и да има вече 2 полярни телца и две видими ядра. Разположението, големината и симетрията на ядрата е определяща за бъдещото развитие на ембриона. С добри перспективи за бременност са ембрионите с напълно симетрични ядра:

Ембрионите до 3-ти ден са в етап на ранно делене – генетичният материал се размножава, клетките на ембриона се разделят, но обема на ембриона не се различава от обема на неоплодената яйцеклетка. Чисто концептуално човешкия ембрион се дели в много специфична последователност: от една клетка става на две, двете стават на четири, четирите стават на осем и така нататък. Но в действителност ембрионалните клетки, наречени бластомери в този етап, не се делят синхронно, затова често ембриологът може да види 3, 5 или 7 клетки. Важно е в стадий на 4 клетки (ден 2) или в стадий 8 клетки бластомерите да са симетрични:

В зависимост от броя на клетките в определени моменти асиметрия също e нормално да се среща.
На ден 5 ембрионът достига стадий, наречен бластоцист. В този стадий ембрионалните клетки наброяват между 120 – 200 броя. Ембриологът оценява развитието с цифри от 1 до 6, като тази оценка е определяща за способността на ембриончето да се превърне в здраво бебе. Качествената класификацията на ембриони е инструмент, който лекарите и ембриолозите използват заедно с възрастта на пациента, историята на инфертилитета и друга информация, за да определят най-подходящия де, в който да върнат ембиони в матката, броя ембриони за трансфер и точно кои ембриони са най-подходящи за прехвърляне в матката, така че да се осигури най-добър шанс за имплантация и успешна бременност.
Свързани отделения