Безплатни прегледи за деца с гръбначни изкривявания ще се проведат в Болница Токуда по повод Световния месец за борба със сколиозата
Консултациите са подходящи за деца и юноши със съмнение за сколиоза или установено изкривяване
В Световния месец за информираност за сколиозата Клиниката по Ортопедия и травматология на Болница Токуда организира безплатни прегледи за деца с гръбначни изкривявания. Необходимо е предварително записване на тел. 02/403 4000 или кратък номер
*5544.
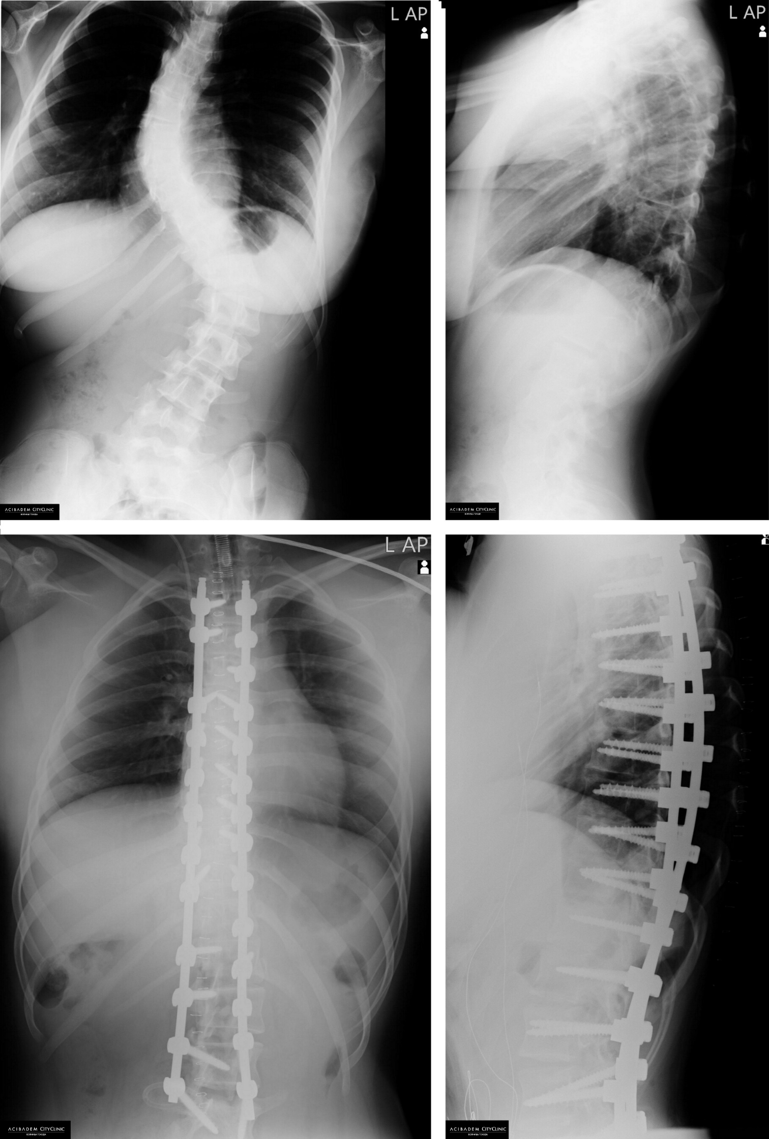
Сколиозата е деформация на гръбначния стълб, което се среща най-често при деца в подрастваща възраст, по-често при момичетата. Представлява странично изкривяване във фронталната равнина, което може да бъде с една или няколко кривини в различни сегменти от гръбначния стълб. Има няколко категории сколиоза, но най-често срещаната е идиопатичната адолесцентна сколиоза. Тя засяга деца в юношеска възраст (от около 10 до 18-20 г.) и при нея причините са неизяснени. Според тежестта на гръбначната деформация е необходимо да бъдат взети мерки със съответната препоръчителна терапия - носене на корсет, кинезитерапия или хирургия при много тежките случаи.
Наблюдението на детето е изключително важно от страна на родителите, които при забелязване и съмнение за проблем, е добре да проведат консултация с ортопед. Има случаи на бързо прогресиране на изкривяването до степен, в която се увреждат вътрешните органи. Това не само пречи на естетическия вид на детето, влошава качеството му на живот, но създава и опасност за здравето му. В тези случаи хирургията остава последният вариант за лечение.
В Клиниката по Ортопедия и травматология в Болница Токуда от дълги години има изграден център за лечение на сколиоза. Ние сме водещ център, където се прилага съвременна хирургия при сложни случаи на гръбначни изкривявания.
Екипът, воден от доц. д-р Васил Яблански и подпомаган през годините от американски хирурзи от Обществото за изследване на сколиозата, оперира по най-съвременните методи средно по 30 деца с тежка сколиоза всяка година. В болницата е създадена и програма за неинвазивно кинезитерапевтично лечение по световноизвестния Шрот метод.
Световният месец на сколиозата се провежда всяка година през юни и цели да повиши информираността относно заболяването и ползите от ранното му диагностициране и проследяване. Създаването на групи от пациенти, специалисти и популяризиране на заболяването е една от възможностите за повече разбиране и подкрепа в обществото за по-добра грижа за пациентите със сколиоза.
Безплатните прегледи ще бъдат проведени от специалистите от Аджибадем Сити Клиник Болница Токуда:
Доц. д-р Васил Яблански, дм, началник на Клиника по Ортопедия и травматология
Завършил е медицина през 1996 г. в медицинския факултет на Тракийския университет.
Получава специалност по „Ортопедия и травматология” през 2001 г. Има тясна специализация в областта на ендопротезирането.
Преминал е квалификационни курсове по първично и ревизионно ендопротезиране в Германия, Австрия, Япония, Франция, и Швеция, гръбначна хирургия в Испания, Турция, и Израел, както и много други специализирани курсове в различни световни водещи центрове.
Д-р Яблански е преминал допълнително обучение в сферата на костната и ставната хирургия в Залцбург, Австрия, както и в хирургичното отделение на университетската болница Duke в Северна Каролина, САЩ.
Притежава магистърска степен по „Обществено здраве” от Университета Hebrew в Йерусалим, Израел, както и магистърска степен по здравен мениджмънт.
Работил е 8 години в отделението по „Ортопедия и травматология” на Университетската болница в Стара Загора, след това постъпва в УМБАЛ „Царица Йоанна”, София. При откриването на МБАЛ „Токуда Болница София”е поканен за началник на отделение по Ортопедия и травматология. През 2016 г. придобива академична длъжност доцент.
Членува в Българската ортопедична и травматологична асоциация, Европейското дружество за хирургия тазобедрена става и Американската асоциация на ортопедичните хирурзи.
Д-р Аделин Иванов, хирург ортопед-травматолог в Клиника по Ортопедия и травматология
Завършил е медицина през 1989 г. в медицинския факултет на Тракийския университет. Има специалност „Ортопедия и травматология” от 1995 г. През 2005 г. получава магистърска степен по „Здравен мениджмънт”. 4 години до 1998 г. е специализирал в Монс, Белгия, в отделението по Ортопедия на Hôpital inter universitaire "A.Paré". Бил е на по-кратки специализации в Турция и Швейцария. От 1990 до 2006 г. е работил в Университетската болница на Стара Загора. В екипа на отделението по „Ортопедия и травматология” на Болница Токуда е от основаването на лечебното заведение.
Д-р Евгени Влаев, хирург ортопед-травматолог в Клиника по Ортопедия и травматология
Завършил е медицина през 1995 г. в Медицинския факултет на Тракийския университет, след което е работил там като асистент, старши и главен асистент. Има специалност по „Ортопедия и травматология” и по „Обща медицина”. Специализирал е неколкократно в Залцбург и Виена, Австрия и е преминал едногодишна специализация в Москва, Русия по пластично- възстановителна хирургия и хирургия горния крайник. Преминал е обучение и сертификационния курс за “Артроскопска ставна хирургия”.
Член е на Съюза на учените в България, MSF (Лекари без граница), MENSA, лекар на Българската Антарктическа експедиция 2010г. В МБАЛ „Токуда Болница София” е от откриването на лечебното заведение.
Свързани отделения