Д-р Владислав Стоянов: Кога плановата операция е най-добрият избор при жлъчно-каменна болест?
Жлъчно-каменната болест е едно от най-често срещаните заболявания на жлъчната система и засяга значителна част от възрастното население в световен мащаб. Характеризира се с образуване на конкременти (камъни) в жлъчния мехур или жлъчните пътища, които често протичат безсимптомно, но могат да доведат до сериозни усложнения.
Д-р Владислав Стоянов, хирург в Acibadem City Clinic УМБАЛ Младост, коментира темата и разказва за важността на плановата хирургична намеса – лапароскопската холецистектомия, която често е не просто опция, а най-рационалното и безопасно решение.
Д-р Стоянов, каква е ролята на жлъчния мехур?
Жлъчният мехур е орган с важна, но не незаменима функция. Той съхранява и концентрира жлъчката, която спомага за храносмилането на мазнините. Когато в него се образуват камъни, той се превръща от полезен орган в потенциален източник на сериозни усложнения. Камъните могат да блокират изходните пътища, да предизвикат възпаление (остр холецистит), панкреатит или жълтеница. Тези състояния вече са спешни и изискват незабавна, често по-рискова операция или интервенционална процедура по отстраняване на жлъчните камъни от жлъчните канали при по-сложни анатомични условия.
Какви са предимствата на плановата операция при камъни в жлъчката?
Плановата лапароскопска холецистектомия - премахване на жлъчния мехур чрез малки разрези, е златен стандарт в лечението на жлъчно-каменната болест. Когато я извършваме планово, при стабилен пациент и ясна анатомия, тя е изключително безопасна и ефективна процедура.
Основните предимства са:
- Контрол над ситуацията: Операцията се извършва в оптимални условия, когато никой орган не е остро възпален. Това значително намалява риска от интраоперативни усложнения, като увреждане на жлъчните пътища или кървене.
- Минимална инвазивност: Лапароскопската техника позволява бързо възстановяване, по-малко болка и по-кратък болничен престой.
- Премахване на заплахата: С отстраняването на жлъчния мехур заедно с камъните, ние елиминираме източника на бъдещи проблеми. Пациентът спира да живее в страх от следваща жлъчна криза или спешна хоспитализация.
В кои случаи се препоръчва планова операция?
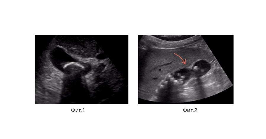
Не всеки пациент с камъни в жлъчния мехур има нужда от операция. Но категорично я препоръчвам на пациенти със следните симптоми: повтарящи се болки в дясното подребрие (жлъчни колики и жлъчни кризи), при наличие на камъни с висок риск от усложнения (единични големи конкременти – фиг. 1, множество конкременти в мехура – фиг. 2, с полипи и др.), при пациенти след проведена ERCP с отстраняване на камъни от жлъчните канали и остатъчна калкулоза на жлъчния мехур.
Като хирург, какво ще препоръчате на пациентите?
Да се изчаква поредната и по-тежко протичаща жлъчна криза е като да се чака да се спука един надуващ се балон. Плановата операция не е признак за слабост, а на проактивно отношение към здравето. Това е единственото лечение, което трайно решава проблема и връща пациента към пълноценен живот без болка, страх и постоянни диети. Много често диалогът се води между пациента, гастроентеролога и хирурга. Доверието между тях е ключово и води до вземане на общо и най-добро решение, основано на доказателствата и дългосрочната полза за добър живот.
Можете да планирате преглед при д-р Стоянов на *5544 с опция Младост.